YVINDENT

Hệ thống quản lí phòng khám nha khoa hiệu quả nhất
Giúp kết nối Phòng khám, Bệnh nhân và Bác sĩ mọi lúc mọi nơi

Đăng ký khám
  • ĐIỀU TRỊ LIÊN CHUYÊN KHOA: CHỈNH NHA - PHỤC HÌNH SỨ
    Các trường hợp té gãy răng cửa lâu ngày sẽ gây trồi răng vào không gian trống của mảnh gãy. Chỉ định chỉnh nha 2 tháng giúp lấy lại không gian phục hình răng cửa. Ngoài ra, 2 tháng là thời gian vừa đủ để chỉnh chen chúc nhẹ vùng răng cửa dưới, cho phép tiếp xúc thuận lợi vùng răng cửa, gia tăng tuổi thọ của răng thật và răng sứ!
  • ĐIỀU TRỊ LIÊN CHUYÊN KHOA: NỘI NHA - NHA CHU
    Rất nhiều trường hợp viêm nha chu kết hợp với tình trạng nhiễm trùng tuỷ. Mặc dù sang thương kết hợp có thể có hình ảnh tiêu xương kéo dài, nhưng phần lớn được phát hiện ở giai đoạn sớm, có thể điều trị để giữ răng!
  • CHỈNH NHA ĐIỀU TRỊ KHỚP CẮN
    Khớp cắn hài hoà là khớp cắn không có điểm cản trở, cho phép các răng thực hiện nghiến xé bằng răng cửa mà không cộm vướng răng sau, ăn nhai bằng răng sau mà không va chạm răng cửa. Khớp cắn hài hoà sẽ cho phép các răng không va chạm cùng lúc, hạn chế mòn răng hàng loạt!
  • ĐIỀU TRỊ LIÊN CHUYÊN KHOA: KHỚP CẮN - NỘI NHA - NHA CHU
    Tuỳ mức độ tiêu xương, răng lung lay do chấn thương khớp cắn kết hợp viêm nha chu có thể được điều trị phối hợp để giảm độ lung lay và giữ răng.
  • CHỈNH NHA LOẠI BỎ TÌNH TRẠNG CẮN ĐỐI ĐẦU
    Tuỳ tình trạng răng và xương, một số trường hợp cắn đối đầu chỉ cần chỉnh nha không nhổ răng kết hợp đi dây và đeo thun liên hàm, vẫn cho phép răng di chuyển an toàn và đạt được hiệu quả thẩm mỹ trong thời gian 7 tháng!
  • CHỈNH NHA MINITUBE
    Đối với các sai lệch nhỏ, chỉ định chỉnh nha bằng cái ống Minitube có kích thước rất nhỏ, cho phép đạt thẩm mỹ tối đa và hiệu quả trong thời gian rất ngắn!
  • CẮT XƯƠNG VỎ HỖ TRỢ CHỈNH NHA GIẢM HÔ
    Rất nhiều trường hợp có lực cản xương vỏ lớn gây kéo dài thời gian điều trị giảm hô, thậm chí cản trở răng di chuyển.
  • CẮT XƯƠNG VỎ HỖ TRỢ CHỈNH NHA GIẢM HÔ
    Rất nhiều trường hợp có lực cản xương vỏ lớn gây kéo dài thời gian điều trị giảm hô, thậm chí cản trở răng di chuyển.
  • CHỈNH NHA THANH THIẾU NIÊN
    Các nghiên cứu về mô học tái cấu trúc xương đều chứng minh, thanh thiếu niên luôn là độ tuổi có tốc độ tái sữa chữ nhanh nhất, từ đó cho phép răng di chuyển nhanh dưới lực chỉnh nha.
  • ĐIỀU TRỊ VIÊM NƯỚU QUANH PHỤC HÌNH SỨ CŨ
    Kết hợp giữa điều trị bệnh lý và thẩm mỹ
  • CẮT NƯỚU KỸ THUẬT ĐƯỜNG HẦM
    Thời gian nhanh, hiệu quả tức thì, không sưng, không đau!
  • Thiết kế nụ cười
    Lớp sứ thuỷ tinh trong veo như lớp men nhưng đủ sức thay đổi màu sắc, hình thái và kích thước răng, từ đó thiết kế nên một nụ cười rạng rỡ
  • VENEER CHO QUÍ ÔNG
    Là một lớp sứ thuỷ tinh dán lên bề mặt men răng giúp phô diễn cấu trúc nam tính, là lớp áo toả sáng, nhưng vẫn xuyên thấu và khúc xạ nhiều tầng màu. Đẹp mạnh mẽ một cách tự nhiên 😊
  • ĐIỀU TRỊ VIÊM NƯỚU DO PHỤC HÌNH CŨ
    Phục hồi sự lành mạnh của nướu (thể hiện qua màu sắc, độ săn chắc) ở các trường hợp Phục hình sứ cũ sai qui cách gây viêm nướu dai dẳng
  • GHÉP MÔ HỖ TRỢ CHỈNH NHA
    Kỹ thuật ghép mô cho phép tái tạo bề dày xương và bề dày nướu, ngăn ngừa các biến chứng tiêu xương tụt nướu ở nhiều trường hợp xương mỏng, nướu mỏng, cho phép răng di chuyển an toàn dưới lực chỉnh nha.
  • VENEER XOÁ NỀN RĂNG XÁM
    Mặt dán sứ là điều trị thay thế tối thiểu men răng (0,5mm) tối màu bằng một lớp sứ mỏng
  • CHỈNH NHA TĂNG TRƯỞNG
    Chỉnh nha tăng trưởng bắt đầu khi các răng vĩnh viễn bắt đầu mọc và có dấu hiệu xáo trộn ở vị trí mọc, hướng mọc cũng như cách sắp xếp răng giữa hàm trên và hàm dưới
  • INLAY SỨ
    Inlay/ Onlay hay Overlay là khối sứ thay thế phần mô răng mất chất, là biện pháp phục hồi bảo tồn tối đa mô răng, thay thế cho phục hình bọc sứ thông thường
  • ĐIỀU TRỊ TÌNH TRẠNG TRỒI RĂNG
    Đánh lún răng cối là điều trị cho phép trả lại không gian phục hồi răng cho khoảng mất răng, mà không phải mài răng hay nhổ răng đối diện, là một kỹ thuật bảo tồn trong thời gian từ 2- 3 tháng
  • CHỈNH NHA - CẮT NƯỚU <SMILE DESIGN>
    Chỉnh nha dựa trên mẫu thiết kế cho phép di chuyển răng theo tiêu chuẩn thẩm mỹ. Cắt nướu giúp bộc lộ đủ chiều dài và hình dạng thân răng cho phép nâng cao hiệu ứng thẩm mỹ tối đa khi cười.
  • CẮT NƯỚU SMILE DESIGN
    Cắt nướu smile design giúp tạo hình thái cân xứng và hài hoà giữa các răng khi cười, vừa đủ bộc lộ thân răng mà vẫn cho phép thấy viền nướu, tạo nét duyên dáng khi cười đặc trưng cho từng cá nhân.
  • CHỈNH NHA GIẢM HÔ RĂNG
    Chỉnh nha với 6 - 8 tháng mang mắc cài là thời gian đủ để sắp đều răng và giảm nhô cho các trường hợp hô do chìa thân răng cửa hàm trên
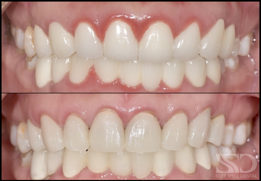
  • CHỈNH NHA THANH THIẾU NIÊN
    Chỉnh nha ở độ tuổi thanh thiếu niên khi bé vẫn còn đang trong quá trình mọc răng cối lớn thứ hai, giúp rút ngắn thời gian mang mắc cài mà vẫn đạt được hiệu quả thẩm mỹ như mong đợi.
  • MẶT DÁN SỨ VENEER
    Veneer sứ là lớp sứ thuỷ tinh mỏng (0,3mm - 1mm) dán vào mặt phần men răng mặt ngoài, cho phép cải thiện màu sắc, hình dạng và kích thước răng mà vẫn duy trì vẻ đẹp tự nhiên và bảo tồn mô răng
  • GHÉP XƯƠNG HỖ TRỢ CHỈNH NHA
    Là kỹ thuật ghép xương hồi phục xương nâng đỡ răng, hỗ trợ không gian để răng di chuyển dưới lực chỉnh nha, hoặc điều trị các ca chỉnh nha gây tiêu xương. Ngoài ra, ghép xương cho phép răng di chuyển vào các vị trí thiếu xương ở những ca mất răng lâu ngày.
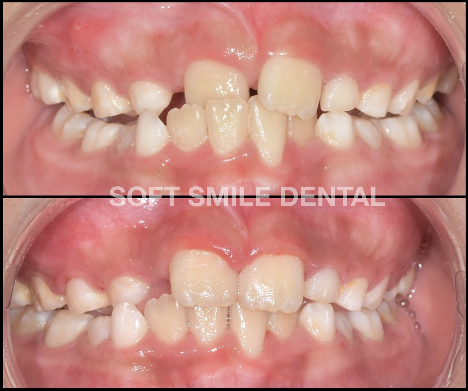
  • CHỈNH NHA SỚM Ở GIAI ĐOẠN RĂNG HỖN HỢP
    Chỉnh nha sớm là những can thiệp nhỏ, đơn giản trong thời gian ngắn cho các bé có sai hình khớp cắn ở độ tuổi thay các răng vĩnh viễn đầu tiên.
  • Ê BUỐT VÌ TỤT NƯỚU!
    Tụt nướu là một dạng bệnh lý do thiếu nướu bám dính và xương nâng đỡ.
  • LỰA CHỌN ĐIỀU TRỊ ĐÚNG CHO TÌNH TRẠNG MẤT RĂNG CỐI
    Tuỳ vào tình trạng khớp cắn, tình trạng mất răng cối được chỉ định điều trị khác nhau
  • CƯỜI LỘ có DUYÊN?!
    Nghiên cứu khảo sát về thẩm mỹ cho thấy nụ cười lộ ít hơn 3mm nướu là nụ cười đẹp.
Xem tất cả